
白い歯と歯の健康を維持する方法として、クリーニングがあります。クリーニングは歯の清掃・洗浄を行い、清潔な歯を保ちます。よく「クリーニングで歯が白くなる」と誤解されている方がいらっしゃいますが、クリーニングは歯のホワイトニングとは違い、歯本来の色を白くする事はできません。
クリーニングは歯の表面に付着した着色やタバコのヤニを除去したり、歯石や歯周ポケットに入り込んだ歯石を除去します。クリーニングを一度行っただけでは、残念ながら効果を持続させることはできず、 少なくとも半年に1回か3ヶ月に1回はクリーニングを行うことが歯の健康維持には理想的です。

超微粒子撥水パウダーを一定の水と一緒に吹きつけ、タバコのヤニや茶しぶなどで汚れている箇所を清掃する短時間で簡単にできるクリーニングです。歯の表面を傷つけずに細かい汚れが取れますが、汚れを取るだけのため、定期的なクリーニングが必要です。

研磨剤を用いてわずかながら歯の表面を削ってしまう為、頻繁には行えませんが、汚れと同時に歯の表面をつるつるに磨き上げます。飲み過ぎや病気などで嘔吐した後は、胃酸により歯の表面が溶かされてざらつき、汚れやすくなるため、このようなクリーニングがおすすめです。

PMTC(Professional Mechanical Tooth Cleaning )とは、毎日、知らず知らずのうちに磨き残してしまった部分や歯ブラシでは磨くことができない部分を専門的な機械などで衛生士により徹底的にクリーニングすることをいいます。
詳細はこちらから

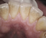
歯石は『虫歯・歯周病・口臭』の原因になる細菌の塊で、唾液の中のカルシウムなどと歯垢が結合して固まったものです。これを衛生士により、専用の手用器具を用いて専門の器具を使って、除去していきます。
詳細はこちらから

最近審美歯科という言葉を耳にすることがあると思いますが、その中で健康な歯を削らずに歯を白くする方法があります。一般にそれをホワイトニングといいます。
詳細はこちらから

こんな方にお勧めです。「ヘビースモーカー(特に長年タバコを吸ってきた方)」「ビジネスマンや接客業などのお仕事をされている方」「口臭やヤニの臭いが気になってきた方」
詳細はこちらから
人の歯は、奥に行けばいくほど入り組んで複雑な形になっています。また歯の奥の方まではなかなかしっかりとブラッシングをすることができないため、毎日歯磨きをしていても磨き残しは出てしまいます。
当院で行っている歯のクリーニングには、エアーフロークリーニングや研磨剤によるクリーニング、さらにはPMTC等があり、歯の表面はもちろん、奥歯の入り組んだ部分や歯間にたまった歯垢を徹底的に除去することができます。
歯垢(プラーク)は、虫歯や歯周病など様々な病気の原因となる厄介な物質ですので、歯科医院で定期的にケアをすることは病気予防のために非常に効果的であるといえます。